東京 新橋・汐留の槙原歯科 一般歯科からインプラント治療・審美治療・矯正歯科ほかお気軽にご相談ください。

歯周病Periodontic

歯周病とは

当院の歯周病治療に対する考え方

当院では、歯周病の専門教育を受けた医師が多数在籍しております。慢性的な疾患であるために、生活習慣指導からはじまり、治療期間が最も長くかかる処置の一つです。しかし患者様のご理解と努力があれば必ず進行を止めることができます。レントゲン、歯周組織の精密検査、リスク検査を行い各個人に合わせて治療計画をご案内いたします。

日本人の30歳以上の国民は、程度が軽度であれ重度であれ8割は歯周病と言われています。歯を失う原因は虫歯か歯周病で8割です。しかし中年以降の歯の喪失原因は何と言 っても歯周病が一番の原因となっています。1本でも歯を長く持たせるためにも、病気をただ治すだけではなく、悪くならないように予防しケアをする必要があります。
より健康でいられるためにも年に3回以上のメンテナンスを推奨いたします。

現在、日本人の成人の8割が「歯周病」にかかっていると言われており、歯を失う原因として「虫歯」と「歯周病」がその大半を占めています。罹患者の年齢層は若年者から高齢者までも幅広く、症状も軽度なものから重度なものまで様々です。

 

歯周病の進行

初期の歯周病(歯肉炎)

炎症は歯肉のみで、歯周ポケットも3mm程度、歯周組織(歯の周りの歯根膜や歯槽骨といった歯を支える土台なっている部分)には及ばず歯槽骨の吸収もない、歯石を除去し、適切な歯磨きをすることによって改善します。

中等度の歯周病

炎症が歯周組織まで及んでいます。歯槽骨の吸収がおこり、歯周ポケットも深くなります。やや歯のぐらつきがみられ、歯磨きの時の歯肉からの出血が多くなり、口臭も強くなります。歯周ポケット底部の歯石を除去し、歯周病菌に感染している歯根面もきれいにすることにより歯肉は引き締まり、歯周ポケットを浅くし、歯周病の進行を阻止します。

重度の歯周病

歯槽骨を歯根の1/3程度まで失い、歯の動揺が激しく咬合時に痛みを伴ったり、膿がでたりします。場合によっては抜かなければなりません。

歯周病は虫歯と比べると痛みなどの自覚症状がでにくいために、気付いたときには重度の歯周病になっていたりすることがあります。
そこで、セルフチェックや歯科医師、歯科衛生士などの専門家によるチェック、ケアーをお勧めします。また、近年では歯周病の人はそうでない人に比べて心筋梗塞などの心臓血管疾患にかかる確率が高いという研究結果が報告されています。口腔内の健康と全身の健康は密接な関係を持っているのです。

 

歯周病の原因と予防

マスコミなどで歯ブラシ・歯磨き粉・洗口剤・レーザー治療などがとりはやされていますが、いずれも補助的なもので歯周病を
治す為の原因除去方法ではありません。体質(遺伝)、噛み合わせ、ホルモン、糖尿病などの基礎疾患などもリスクを上げる要因ですが、主たる原因ではありません。
根本的な原因は、磨ききれなかった歯垢(プラーク:歯周病原菌)です。このプラークが歯と歯肉の隙間(歯周ポケット)に侵入して、歯肉や骨、歯根膜組織を破壊してしまうのです。と言うことは歯周ポケットの中の汚れ(歯石・細菌感染物質)を除去するための治療が必要です。それに先立ち治療効果を上げるためにも適切なブラッシングが身に付かなければなりません。

歯磨きは意外にも患者さんに軽視されやすいのですが、しっかりと磨けている患者さんは10人中2〜3人程度です。
発病させないレベルまでにトレーニングするのはそれだけ難しいことであり、最も大切なことなのです。

まずは、基本的なクリーニング、歯ブラシ指導、生活習慣指導を行った後に、歯根面に付着した細菌を除去するために
歯肉の中へのアプローチを行います。その後初期治療効果を判定し、外科療法や歯周再生療法を行って歯周病を完治させてゆきます。

 

歯周病の診断と治療法

セルフチェック

 

A,B,C の原因と治療法

口腔内の歯周病原因菌により、歯肉に炎症が起きています。歯石除去と正しいプラークコントロールが必要です。

D の原因と治療法

歯周病によるもの、虫歯によるもの、消化器系の全身疾患、生理的口臭、食べ物によるものなどが考えられます。また、心因的なものもあります。口臭測定器を用いて検査をすることができます。

E,F,G の原因と治療法

歯肉炎から歯周炎へ悪化しています。歯周病菌の感染が歯槽骨に及んでいます。 早急な治療をお勧めします。

H,I,J,K の原因と治療法

喫煙による毛細血管の収縮が、血流を悪くし歯周病の回復を妨げます。また、ストレスや不規則な生活、全身疾患で体の抵抗力がさがったとき、妊娠時などホルモンバランスが乱れやすいときも歯周病を悪化させます。

L の原因と治療法

歯並びが悪い、不良補綴物(不適合なかぶせ物)はプラークコントロールを困難にします。 また、口呼吸や唾液の分泌が少ないと口腔内細菌の活動を活発にさせます。 歯ぎしりは、歯、歯周組織にダメージを与えます。

 

歯科医師、歯科衛生士によるチェック

1.レントゲン写真による診断

歯を支えている骨の吸収の度合いを確認します。

2.歯周ポケット、BOP(出血の有無)と歯の動揺度の測定

細菌のすみかとなる歯周ポケットの深さと、炎症に伴う出血、歯のぐらつきを診ます。

3.口臭検査

口臭測定器により数値で表します。

4.プラークコントロール検査

細菌の集合体であるプラークや歯石の付着部位を調べます。

歯周病の治療の流れ

レントゲン写真、歯周ポケット検査から、適切な治療計画を立て、原因除去のためにプラークコントロール、歯石除去、
ブラッシング指導
を行います。その後、SRP(局所麻酔をして歯周ポケットの深部の歯石除去)
行い炎症状態の治癒を待ち、改善が見られないもしくは重篤な症例の場合は、外科的な手術が必要になります。
(痛くありません&あまり腫れません/ご心配なく)場合によって、GTR法やエムドゲイン療法(歯周組織再生療法)を行います。
改善したところで、定期的なメインテナンスを行いながら、噛み合わせ・矯正・インプラント・修復処置へ移行します。

診査、診断



プラークコントロール
ブラッシング指導
クリーニング




SRP
(歯肉内の歯根についた歯石除去)
再評価 メインテナンス


歯周外科
(GTR、エムドゲイン)




再評価



メインテナンス

 

歯周病の治療例

歯周病の治療イメージ

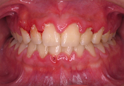
CASE 1

20代前半 男性 若年性の歯周炎

歯肉の炎症が著明で、腫れ出血しているのがわかります。徹底したプラークコントロールと初期治療により改善させた症例です。

歯周病症例 矢印 歯周病症例
治療前
治療後
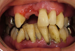
CASE 2

40代後半 女性 慢性歯周炎

大臼歯部が喪失し、前歯の支持骨も失い歯が前方移動及び挺出しているのがわかります(出っ歯)。初期治療→歯周外科手術→簡単な矯正治療、大臼歯部をインプラントで回復→仮歯でかみ合わせを回復→残存歯牙の動揺を抑えるために各歯牙を連結固定をしました。

歯周病症例 矢印 歯周病症例
治療前
治療後
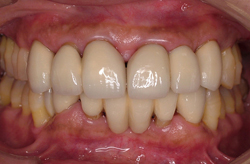
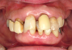
CASE 3

50代前半 男性 慢性歯周炎

プラークコントロールの不良、歯肉が退縮し歯が長く見えまた骨が喪失しているので歯が変位しているのがわかります。初期治療→歯周外科手術→簡単な矯正治療→歯牙の固定。

歯周病症例 矢印 歯周病症例
治療前
治療後
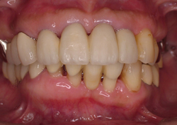
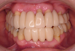
CASE 4

40代前半 女性 侵襲性歯周炎(最もリスクのある疾患)

大量の歯石沈着、歯牙の変位、排膿及び動揺が著しかった。常識的には全て抜歯が最適応ですが、1本でも自身の歯を残すことを希望されたため徹底的な生活習慣及び衛生指導を行ったうえで治療に踏み切りました。初期治療→保存不可な歯の抜歯→歯周外科手術/再生療法→矯正治療→仮歯にて咬合支持→下顎前歯部のインプラント埋入→現在最終仮歯の状態→(最終修復物セラミックにて回復予定)歯肉の引き締まり具合を注目してください。

歯周病症例 矢印 歯周病症例
治療前
最終補綴前の仮歯の状態
ご予約
フォーム
ページ
最上部へ
TOP
PAGE